Đơn vị chụp và can thiệp mạch Bệnh viện Trường đại học Y Dược Huế vừa tiếp nhận và can thiệp cấp cứu thành công cho một bệnh nhân nhồi máu cơ tim trẻ tuổi nhất được phát hiện và điều trị tại Bệnh viện Trường từ năm thành lập (2009) đến nay”, PGS.TS.Hoàng Anh Tiến, Phó trưởng khoa Nội Tim mạch, Đơn vị Đơn vị chụp và can thiệp mạch, Trung tâm tim mạch, Bệnh viện Trường Đại học Y Dược Huế cho biết ngày 4/5.


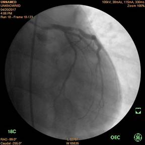
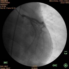
Động mạch vành trái trước và sau khi đặt stent
Bệnh nhân tên là Võ Hữu T., 30 tuổi, ở Phú Lộc, tiền sử hút thuốc lá và uống rượu nhiều. Bệnh khởi phát cách nhập viện 10 ngày với biểu hiện sốt, đau họng, ho, đau ngực sau xương ức tăng lên khi ho, đau ngực khi gắng sức. Các xét nghiệm cho thấy có hội chứng nhiễm trùng và tăng men tim, có dấu chứng tổn thương tim trên điện tâm đồ, làm siêu âm tim cấp cứu với kết quả giảm vận động buồng tim, chức năng tim giảm, được hội chẩn khẩn. Với quyết định chụp và can thiệp khẩn trương, bệnh nhân đã được nong và đặt stent động mạch vành trái.
Ngay sau đặt stent động mạch vành, bệnh nhân giảm đau ngực nhiều, men tim giảm, cảm giác khoẻ hơn.
“Nhồi máu cơ tim là bệnh lý tim mạch nặng, diễn tiến nhanh và có thể dẫn đến tử vong, hay gặp ở người lớn tuổi, nhưng bệnh nhân này rất trẻ - chỉ 30 tuổi, triệu chứng lúc vào viện của nhồi máu cơ tim bị che lấp bởi hội chứng nhiễm trùng và đáng lưu ý là bệnh nhân sử dụng quá nhiều thuốc lá và bia rượu. Rất may, bệnh nhân đã được chẩn đoán và điều trị kịp thời bằng các phương tiện can thiệp”, PGS.TS.Hoàng Anh Tiến cho biết thêm. Trường hợp này cảnh báo xu hướng trẻ hóa bệnh mạch vành tại nước ta và tác động nguy hiểm của các yếu tố nguy cơ tim mạch như lạm dụng thuốc lá và bia rượu ở người trẻ tuổi.
Theo Báo Thừa Thiên Huế Online