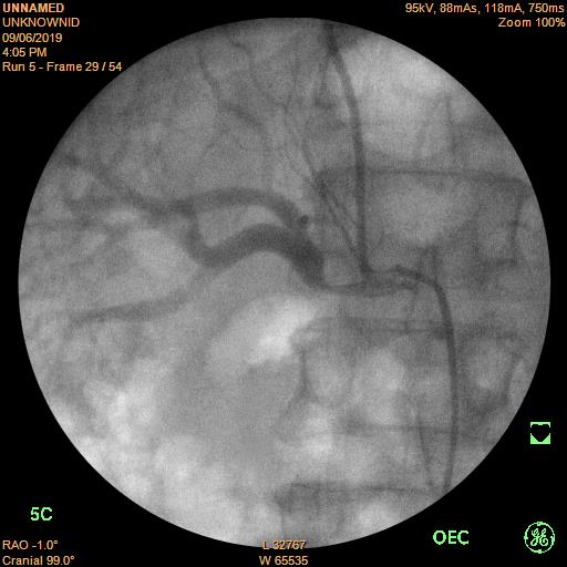
Bệnh nhân vào bệnh viện Trường Đại học Y dược Huế do chấn thương thành ngực, đụng dập phổi, được điều trị tích cực tại khoa ngoại Chấn thương chỉnh hình, được hội chẩn điều trị hạ huyết áp từ khoa nội Tim mạch nhưng vẫn chưa kiểm soát được huyết áp cho dù tình trạng cấp tính do chấn thương đã dần ổn định. Nhận định đây là một trường hợp bệnh lý tăng huyết áp khó, có nhiều bệnh kèm phức tạp, khoa nội Tim mạch đã nhận bệnh điều trị và làm thêm các xét nghiệm chuyên sâu để tìm nguyên nhân gây tăng huyết áp khó kiểm soát ở bệnh nhân này. Sau khi chụp cắt lớp vi tính (CTscan) bụng có thuốc cản quang và chụp mạch máu thận (chụp DSA), bệnh nhân được xác định hẹp 95% đoạn gần gốc động mạch thận phải, động mạch thận trái bình thường.

Hình 1. Hẹp 95% động mạch thận phải.
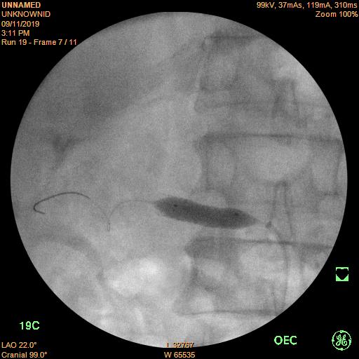
Sau khi hội chẩn, kíp can thiệp đã quyết định đặt stent (giá đỡ bằng kim loại) để nong vị trí hẹp, do kích thước động mạch thận phải rất lớn nên đơn vị can thiệp tim mạch bệnh viện Trường Đại học Y Dược Huế đã chọn stent động mạch thận phải lớn nhất là 7mm, vị trí đặt khá khó do gần gốc động mạch thận. Sau khi đặt stent kích thước động mạch thận phải trở lại bình thường.
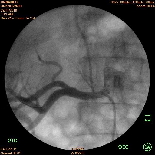
Sau khi nong bằng bóng để làm nở vị trí hẹp, một stent kích thước 7.0x19 mm được đặt vào vị trí hẹp, chụp mạch máu thấy dòng chảy tốt, vị trí hẹp động mạch thận trước đây đã trở lại kích thước bình thường.

Hình 2. Đặt stent động mạch thận phải

Hình 3. Động mạch thận phải sau khi đặt stent.
Sau khi đặt stent và trị số huyết áp của bệnh nhân đã giảm xuống mức tối ưu 130/80 mmHg.
Thành công trong việc phối hợp điều trị các chuyên khoavà giải quyết nguyên nhân tăng huyết áp thứ phát là hẹp động mạch thận bằng cách đặt stentđộng mạch thận đã giúp bệnh nhân kiểm soát được trị số huyết áp, đồng thời giảm thiểu các biến chứng của tăng huyết áp và đái tháo đường gây ra sau này.
PGS.TS. Hoàng Anh Tiến
Phó Khoa Nội Tim mạch
Bệnh viện Trường Đại học Y Dược Huế